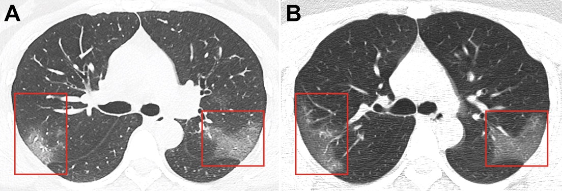
Un grupo de investigadores del Primer Hospital de la Universidad de Lanzhou (China) ha publicado este viernes dos radiografías de tórax de una mujer infectada por el coronavirus 2019-nCoV en la revista Radiology. La segunda—tomada al cabo de 3 días—mostró los signos del avance de la enfermedad.
La mujer, de 33 años, trabaja en Wuhan y viajó a la ciudad de Lanzhou un día antes de que empezaran sus síntomas. Transcurrido un tiempo, tuvo que acudir al hospital, ya que para ese momento llevaba 5 días con tos y 39 ºC de fiebre. Los médicos detectaron que la paciente, que se mantiene en el anonimato, presentaba una respiración "áspera" y un recuento bajo de glóbulos blancos: signos de la infección.

A través de las radiografías, los médicos observaron unas manchas blancas en la esquina inferior de sus pulmones, llamadas por los especialistas como la "opacidad de vidrio esmerilado".
El radiólogo de la Universidad Thomas Jefferson (EE.UU.), Paras Lakhani —que no participó en el estudio, pero examinó las imágenes—, explicó que son habituales en pacientes enfermos de neumonía común y muestran la presencia de líquido en los espacios pulmonares. No obstante, especificó que no son un síntoma claro para diagnosticar el nuevo coronavirus en un paciente, informa Business Insider.
"Si no supiera sobre este brote, leería el escaneo y simplemente diría: 'Está bien, este paciente tiene neumonía', porque eso es lo más común que vemos", dijo Lakhani, señalando que los coronavirus en general afectan al tracto respiratorio y también pueden causar neumonía y un resfriado común.
Pero en este caso, los investigadores detectaron que las manchas se extendían hasta los bordes de los pulmones de la mujer, una característica que también se había detectado en los pacientes con SARS y MERS. Lakhani indicó que en las imágenes detectaron que el nuevo brote tiene "muchas características similares" con las otras dos epidemias.
El virus empeora después de 3 días
Para descartar que no se tratara de una neumonía, los especialistas repitieron las radiografías al cabo de 3 días, cuando la paciente ya había recibido su tratamiento, y descubrieron que las manchas blancas se habían vuelto más extensas y pronunciadas.
La mujer siguió empeorando, aunque en el hospital se le administró una proteína utilizada para tratar infecciones virales, llamada 'interferón', junto a otros medicamentos como esteroides o los que ayudan a abrir las vías respiratorias.
"La neumonía generalmente no progresa rápidamente. En general, la mayoría de los hospitales la tratan con antibióticos y los pacientes se estabilizan y comienzan a mejorar", dijo Lakhani, agregando que los pacientes con SARS tuvieron el mismo desarrollo que mostraron las radiografías.
No es una medida segura para detectar un coronavirus
A pesar de haber detectado cambios pulmonares en la paciente mediante las radiografías, el especialista agregó que por sí solas no son una medida demasiado segura para identificar un coronavirus, sino que es mejor recurrir a una prueba de laboratorio, que consiste en tomar muestras de saliva o mucosidad de la nariz y la boca de un paciente o de la flema que puede escupir mediante la tos.
Todo y así, señaló que la prueba tampoco es del todo eficaz, ya que solo se puede detectar el virus cuando una persona muestra síntomas. Asimismo, reveló que los síntomas del nuevo coronavirus incluyen fiebre, escalofríos, dolores de cabeza, dificultad para respirar y dolor de garganta.
Otros datos del Coronavirus 2019-nCoV
Últimamente también han aparecido las primeras descripciones clínicas del nuevo coronavirus.
Este jueves, la revista The Lancet publicó un estudio que describe el curso de la enfermedad en 99 infectados de Wuhan. Así, los científicos encontraron que la mitad de ellos trabajaron o visitaron el mercado de esa ciudad, donde comenzó la propagación de la infección. En la mayoría de los casos, la enfermedad se acompañó de tos, fiebre e insuficiencia pulmonar, mientras que en tres cuartos de los casos se desarrolló una neumonía bilateral. Además, los médicos confirmaron que el 2019-nCoV afecta principalmente a los ancianos y a aquellos que tienen enfermedades concomitantes.
Mientras tanto, un estudio publicado en la revista New England Journal of Medicine precisó el período de incubación —desde que el virus entra en el organismo hasta que muestra sus primeros síntomas—, que ha sido de 5,2 días en promedio, aunque puede variar dependiendo de cada paciente. Por su parte, la OMS comunicó este lunes que el período de incubación puede oscilar entre 2 y 10 días.
Asimismo, ya se sabe que el 2019-nCoV puede transmitirse de persona a persona, pero aún no está claro con qué facilidad esto ocurre, lo cual es ahora una de las cuestiones más importantes por determinar.
Inicialmente, las autoridades chinas hablaron de un potencial limitado de infección, pues solo familiares de las personas ya enfermas o trabajadores médicos estaban infectados. Pero ahora ya apareció evidencia de transmisión de persona a persona incluso fuera de China. Así, este jueves transcendió que una residente de Illinois (EE.UU.) infectada con el coronavirus transmitió ese microorganismo a su marido.

