La gente que practica 'breaking' podría sufrir la aparición de un bulto en la parte superior de la cabeza después de realizar regularmente giros sobre ella, de acuerdo con un nuevo estudio publicado este jueves en la revista médica BMJ Case Reports.
Un equipo de investigadores de Dinamarca descubrió que, como el 'breaking' implica piruetas de fuerza con balanceos en posturas poco equilibradas y giros sobre la cabeza, puede provocar protuberancias en la mollera.
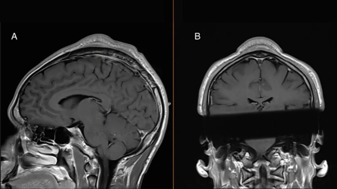
Para investigar posibles riesgos, los científicos analizaron el caso de un hombre de 30 años que llevaba más de 19 practicando varios tipos de acrobacias de giro sobre la cabeza. Según el sujeto, solía realizar actuaciones de 'breaking' unas cinco veces a la semana durante aproximadamente una hora y media, de manera que entre dos y siete minutos de cada sesión aplicaba presión directa sobre la mollera.
Posteriormente, notó que se le había formado un bulto en el cuero cabelludo, acompañado de pérdida de pelo. En los últimos cinco años, la hinchazón, conocida como 'agujero de giros sobre cabeza' o 'bulto de breaking', creció y se hizo sensible al tacto.

Si bien los médicos extirparon la protuberancia, el tejido cutáneo circundante quedó engrosado. No obstante, el paciente expresó alivio y comentó que ahora puede mostrarse en público sin sombrero ni gorra. "Mucha gente me dice que ya no se nota el bulto y que mi cabeza parece completamente normal", comentó el hombre.


