El canal internacional
de noticias en español
más visto en el mundo
En vivo
Noticias
Viral
Programas
Programas
RT reporta
Ahí les Va
Conversando con Correa
Cartas sobre la mesa
Documentales
El África de Lumumba
El Zoom
ZOOM+
Entrevista
Código Abierto
Impacto Directo
La lista de Erick
Opinión
Multimedia
Multimedia
Videos
Promo
Osografía
Falso o real
Palabra secreta
Equipo de RT
Véanos en TV
Véanos en TV
Esp
Br
Ar
De
En
Esp
Fr
Rs
Ru
Trump afirma que está en "tensas negociaciones" con Irán poco antes de que expire su ultimátum
Electro
Portada
Electro
Ataque de Kiev deja a más de 200.000 abonados y cientos de localidades de Zaporozhie sin luz
El peligro de calentar agua en el microondas que siempre se subestima (VIDEO)
España podría sufrir un nuevo apagón masivo, Red Eléctrica alerta sobre tensión en el sistema
VIDEO: Un automóvil casi es impactado por un rayo en una carretera canadiense
La descarga de películas 4K en segundos, a punto de ser realidad
Crean un 'cerebro' de gel y aprende a jugar un juego electrónico
Chilenos protestan por la falta de suministro eléctrico tras el paso de un ciclón
Conectan 16 minicerebros humanos para crear la primera 'biocomputadora' de bajo consumo de energía
Revelan el porcentaje de energía renovable en el suministro mundial de electricidad
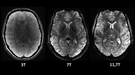
La resonancia magnética más potente del mundo muestra sus primeras imágenes
Aterrador momento en que un globo aerostático se estrella contra el tendido eléctrico
Abogado recibe descarga eléctrica con una táser en un juicio
'Hackers' podrían incendiar un 'smartphone' conectado a un cargador inalámbrico
Niños con discapacidad usan sus mentes para moverse y jugar gracias a una nueva tecnología
Dispositivo chino de plasma podría cambiar las reglas de juego en el combate aéreo
China hacia la supremacía en la industria de vehículos eléctricos
Desarrollan el primer prototipo de batería con base en un elemento de la sangre humana
Gobierno cubano actualizará los precios de combustibles, electricidad y gas licuado
RT en Español en vivo - TELEVISIÓN GRATIS 24/7
Lo más popular
Trump: "Una civilización entera morirá esta noche, para no volver jamás"
7 abr 2026 | 12:08 GMT
Irán responde en la ONU a la amenaza de Trump
7 abr 2026 | 17:42 GMT
Medios: Irán corta comunicaciones directas con EE.UU. tras las nuevas amenazas de Trump
7 abr 2026 | 15:00 GMT
Medios detectan el despegue 'avión del fin del mundo' de EE.UU. ante la guerra con Irán
7 abr 2026 | 10:17 GMT
Irán ante la ONU: "Rechazamos categóricamente un alto al fuego temporal"
7 abr 2026 | 17:28 GMT
Osografía
La indisimulable irrelevancia europea en la OTAN